
We stand out for the use of cutting-edge technology in the field of bridges and dental prosthetics in Barcelona. We have a team of experts in oral rehabilitation dedicated to restoring chewing function, preserving smile aesthetics, and improving the quality of life of our patients.
A dental prosthesis is an artificial structure designed to replace lost teeth. In our clinic in Barcelona, we use bridges and prosthetics made with biocompatible materials to ensure better integration in the mouth and a more natural sensation.
By integrating the most advanced technology and 4D aesthetic techniques, along with digital smile design, we achieve excellence in oral rehabilitation. Our expertise in prosthodontics and maxillofacial surgery results in treatments of high precision and reliability.
We are committed to excellence and personalized care. Our team of experts is ready to guide you through every step of the process, from the initial consultation to the final placement of the dental prosthesis, ensuring your complete satisfaction and comfort.
Here are some of the treatments we offer at our dental clinic in Barcelona:
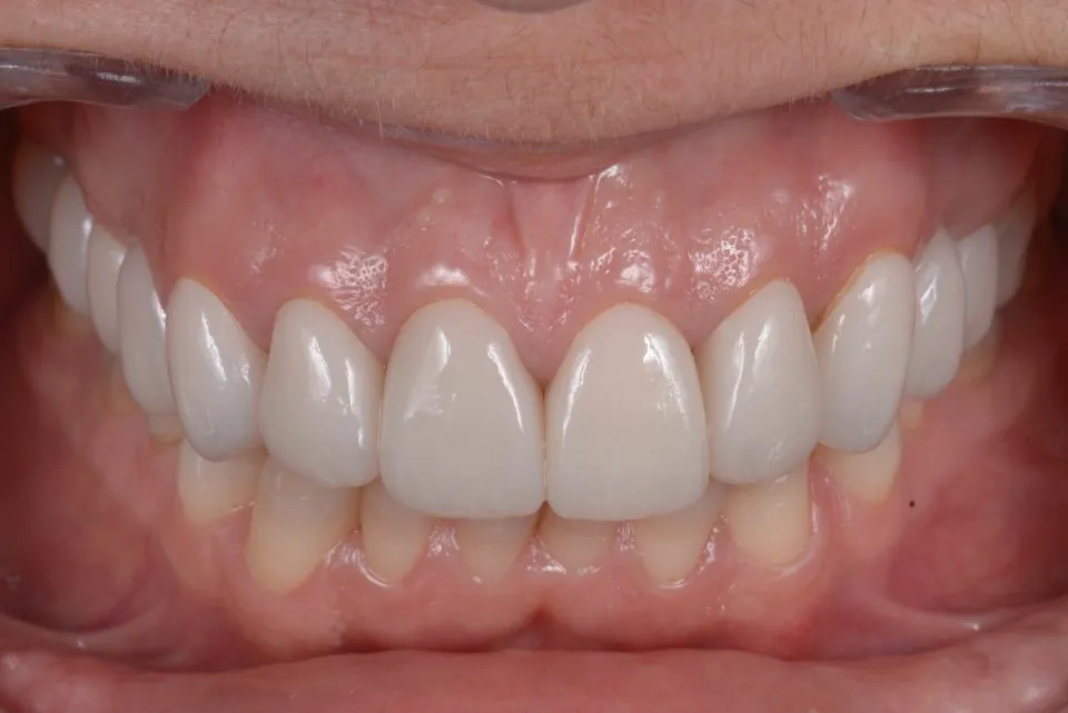
At Clínicas Den, we specialize in fixed dental prostheses on implants, a permanent and aesthetically pleasing solution for those who have suffered tooth loss.
This technique enhances the smile and restores chewing functionality, allowing the patient to enjoy their food without worries. Additionally, it protects the structural integrity of the jaw and prevents the bone loss that accompanies tooth loss.
If you’re looking for a longer-lasting solution that improves your quality of life, contact us today to schedule an appointment.
Thanks to dental bridges, we restore the beauty of your smile and the functionality of your mouth. This fixed solution is designed for those who have lost some of their teeth.
Dental bridges on implants: A robust option to replace lost teeth without affecting other teeth. The implants act as new “roots” in your jaw, onto which a fixed bridge is placed, restoring the functionality and aesthetics of your smile.
Dental bridges on teeth: We use adjacent teeth as pillars to place a bridge that fills the space of the missing tooth or teeth, to restore the integrity of your bite.

Discover the perfect combination of comfort and functionality with our removable dental prosthetics supported by implants.
Ideal for patients seeking a flexible and efficient alternative, removable dental prosthetics combine comfort and functionality with the stability of implants, facilitating cleaning and enhancing the user experience when speaking, eating, and smiling.
We are specialists in prosthodontics in Barcelona, with extensive experience in functional and aesthetic smile rehabilitation. We design custom dental prostheses to restore missing or damaged teeth, giving patients a stable, comfortable, and natural bite.

At Clínicas Den, the team of Dr. Pablo Rial and Dr. Ramón Serrat is committed to excellence and personalized care.
Our team of dentists is ready to guide you through every step of the process, from the initial consultation and digital smile design to the final placement of the bridge or dentures, ensuring your complete satisfaction and comfort.

Digital smile design is a modern technique used in oral rehabilitation that involves the use of advanced software to create a digital representation of a patient’s ideal smile.
This process allows dentists and patients to visualize the final result of a dental treatment before starting any procedure.
Through digital images and 3D simulations, patients can see what their teeth will look like after procedures such as implant placement, prosthetics, crowns, bridges, or dental veneers.
Tell us how we can help you
+34 932 18 80 80
By filling out the following form, you can communicate with the medical team of our clinic and request more information about our treatments for bridges and dental prostheses, or book an appointment with our specialists in Barcelona.