
En Clínica Dental Den, siempre apostamos por la tecnología de vanguardia. Forma parte de nuestro ADN y marca una diferencia real en la forma de diagnosticar y tratar a nuestros pacientes. Y Smilecloud es uno de los últimos avances en tecnología dental
Esta herramienta de inteligencia artificial (IA) nos ayuda a alcanzar nuestros objetivos: la excelencia y la calidad en cada tratamiento dental. Gracias a ella, elaboramos diagnósticos más precisos, planificamos mejor y optimizamos todo el proceso clínico.
Te invitamos a seguir leyendo para descubrir qué puede hacer Smilecloud por tu sonrisa y cómo beneficia a los pacientes de nuestra clínica dental en Barcelona.
¿Qué es la tecnología Smilecloud?
Smilecloud es un software de diseño digital de sonrisa que, a diferencia de los métodos basados en pruebas o simulaciones manuales, utiliza inteligencia artificial para analizar el rostro y los dientes del paciente, previsualizando el resultado estético final antes de iniciar el tratamiento dental.
El sistema trabaja a partir de fotografías faciales y registros dentales (escáner, CBCT y movimiento), que se procesan para crear simulaciones 3D realistas de la sonrisa, mostrando cómo quedarían carillas, coronas, implantes u ortodoncia una vez finalizado el tratamiento.
Diseño biométrico de sonrisas
Todos estos datos permiten realizar un diseño biométrico digital de la sonrisa teniendo en cuenta no solo el estado y posición de los dientes, sino también su relación con los labios, la forma del rostro, expresión facial y los movimientos mandibulares.
De esta manera, gracias a la IA, el paciente puede ver una propuesta clara, realista y comprensible desde el primer momento, y el equipo dental planifica el tratamiento con mayor precisión y coherencia.
Además del diseño, al estar integrado en el ecosistema digital de Straumann, Smilecloud mejora la comunicación entre paciente y profesional y facilita que el diseño aprobado se traslade de forma fiel a las siguientes fases del tratamiento.
¿Cómo funciona Smilecloud?
Es una herramienta digital que permite planificar tratamientos estéticos con mayor precisión y previsión.
Su funcionamiento se apoya en el análisis visual, la inteligencia artificial y el diseño digital de la sonrisa. A continuación te explicamos cómo se utiliza paso a paso en clínica.
1. Estudio inicial del caso
Antes de proponer cualquier tratamiento estético, realizamos un estudio detallado de la sonrisa del paciente.
En esta fase recopilamos fotografías faciales, imágenes intraorales y registros dentales que nos ayudan a entender no solo cómo son los dientes, sino también cómo se relacionan con el rostro, los labios y la expresión facial.
Este análisis inicial resulta clave para valorar qué tratamiento encaja mejor en cada caso.
2. Análisis digital con inteligencia artificial
Una vez recopilada la información, Smilecloud procesa los datos mediante inteligencia artificial.
El software analiza proporciones faciales, línea de la sonrisa, forma dental y simetría, detectando posibles desequilibrios estéticos que a simple vista pasan desapercibidos.
Este paso nos aporta una base objetiva sobre la que trabajar, reduciendo la improvisación y afinando el diagnóstico estético.
3. Diseño digital de la sonrisa
Con los datos analizados, el sistema genera una simulación digital de la sonrisa.
En esta fase se diseña de como quedarían los dientes tras el tratamiento, ya sea con carillas, coronas, implantes u ortodoncia estética. El diseño se adapta al rostro del paciente, no al revés.
El resultado es una propuesta visual clara y realista que permite ver el posible resultado final antes de empezar.
4. Visualización y validación del resultado
El paciente puede ver su antes y después de forma digital y comprender qué cambios se proponen y por qué.
Esta visualización facilita la toma de decisiones, resuelve dudas y asegura que el diseño final se ajusta a sus expectativas.
Nada se inicia sin que el paciente entienda y valide la propuesta.
5. Traslado del diseño al tratamiento
Una vez aprobado el diseño, Smilecloud se integra con otros sistemas digitales de planificación y fabricación dental.
Esto permite que el diseño de la sonrisa se respete durante todo el tratamiento, manteniendo coherencia entre lo planificado y lo que finalmente se coloca en boca.
El resultado es un tratamiento más previsible y controlado.
6. Seguimiento y ajustes
Durante el tratamiento, el diseño digital sirve como referencia para comprobar que todo evoluciona según lo previsto.
Si es necesario realizar ajustes, se hacen siempre tomando como base la planificación inicial, lo que aporta seguridad tanto al profesional como al paciente.
Caso de éxito de Clínicas Den con Smilecloud
Estado inicial de la boca del paciente
El paciente acudió a Clínicas Den por un motivo principalmente estético. No se sentía a gusto con el tamaño de sus dientes y que su sonrisa no era del todo armónica.
En la exploración clínica detectamos varios factores clave. Presentaba sonrisa gingival, ausencia de un molar superior y una oclusión que no ofrecía estabilidad funcional.
Las primeras imágenes reflejan el estado inicial de su boca desde distintos ángulos, donde ya se aprecia la desproporción dental y la falta de soporte posterior causada por la muela ausente.
Planificación digital de la sonrisa
Diseño de sonrisa con Smilecloud
La planificación comenzó con Smilecloud, una tecnología de diseño de sonrisa asistida por IA que transforma una fotografía facial en una simulación estética realista.
A partir de una sola imagen, Smilecloud generó un diseño de sonrisa alineado con los rasgos faciales del paciente. Este primer paso permitió visualizar proporciones, simetría y tamaño dental de forma clara y comprensible.
El paciente pudo ver su posible resultado desde el inicio, lo que facilitó la toma de decisiones y reforzó la confianza en el plan propuesto.
Integración de datos clínicos en 3D
Smile Cloud no trabaja de forma aislada. En este caso, integramos dentro del mismo entorno digital los datos obtenidos mediante escáner intraoral, el estudio CBCT y el análisis del movimiento mandibular.
El CBCT nos permitió analizar en tres dimensiones el hueso, la posición dental y la situación exacta del molar ausente, aportando una base diagnóstica sólida sobre la que construir el tratamiento.
Esta integración permitió ampliar el diseño estético hacia una planificación funcional real, conectando estética, estructura ósea y movimiento.
Análisis funcional 4D con Modjaw
Para estudiar la mordida y el comportamiento de la mandíbula utilizamos Modjaw. Esta tecnología registra los movimientos reales en tiempo real y en cuatro dimensiones.
Gracias a este análisis comprobamos cómo se producía la apertura, la rotación y la posición final de rehabilitación mandibular. Esta información resultó clave para diseñar un tratamiento que no solo se viera bien, sino que funcionara correctamente.
Planificación CAD y guías quirúrgicas
Con todos los datos integrados realizamos un encerado funcional digital y diseñamos guías específicas, como la guía de alargamiento coronario.
Esta fase permitió anticipar cada paso del tratamiento y reducir al mínimo los márgenes de error.
Resultado del tratamiento
Una vez finalizada la planificación, llevamos a cabo el tratamiento de forma secuencial y controlada:
- Ortodoncia para alinear y preparar la oclusión.
- Alargamiento coronario en todo el sector anterior.
- Férula para estabilizar la mandíbula y la mordida.
- Implante dental para reponer el molar superior ausente.
- Coronas dentales en la arcada superior.
- Carillas dentales en la arcada inferior.
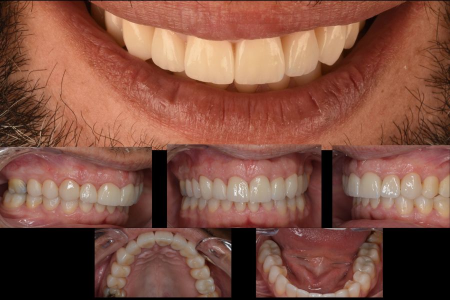
Antes y después del tratamiento
Las últimas imágenes muestran el resultado final del tratamiento. El paciente logró una sonrisa equilibrada, con proporciones naturales y una mordida estable.
La mejora no fue solo estética, también recuperó la función masticatoria y una gran sensación de confort al cerrar y abrir la boca.
Este caso refleja cómo Smilecloud actúa como eje central del diagnóstico y la planificación, integrándose con otras tecnologías avanzadas para ofrecer tratamientos personalizados, precisos y previsibles.
¿Qué ventajas aporta Smilecloud a nuestros pacientes?
Smilecloud aporta beneficios muy claros frente a la planificación estética tradicional, tanto en tranquilidad como en resultados.
La principal ventaja es que permite ver una imagen clara del resultado final antes de iniciar el tratamiento, comparando de forma visual el antes y el después desde la primera visita.
1. Visualización previa del resultado
Antes de empezar cualquier tratamiento, la persona paciente puede ver cómo quedará su sonrisa una vez finalizado.
Esta previsualización evita dudas, expectativas irreales y decisiones a ciegas, ya que todo se basa en una simulación realista y personalizada.
2. Diagnósticos más precisos
El análisis mediante inteligencia artificial reduce el margen de interpretación y aporta datos objetivos.
Eso ayuda a confirmar el diagnóstico con mayor fiabilidad y a tomar decisiones más seguras desde el inicio.
3. Detección temprana de problemas
Smilecloud permite identificar alteraciones estéticas y funcionales en fases iniciales.
De este modo, se actúa antes de que el problema avance o derive en tratamientos más complejos.
4. Tratamientos mejor planificados
Al contar con una visión global de la sonrisa y su relación con el rostro, los tratamientos se ajustan mejor a la realidad de cada persona.
Nada se improvisa y cada paso tiene un porqué.
5. Mayor previsión de resultados
Una planificación más precisa reduce imprevistos durante el tratamiento.
Eso se traduce en resultados más estables y coherentes a largo plazo.
6. Análisis cómodo y no invasivo
El estudio se realiza a partir de fotografías y registros habituales.
No añade molestias ni pruebas adicionales, por lo que el proceso resulta cómodo y sencillo.
7. Mejor comunicación con el equipo dental
La información visual facilita que la persona paciente entienda qué ocurre en su boca y por qué se propone un tratamiento concreto.
Ver la simulación ayuda a resolver dudas y a afrontar el tratamiento con mayor confianza.
Conclusión
La tecnología digital ha cambiado la forma de entender la odontología, y Smilecloud forma parte de ese cambio.
Gracias a su capacidad para analizar, diseñar y previsualizar sonrisas de forma precisa, hoy logramos tratamientos más previsibles, personalizados y alineados con la realidad de cada boca.
En Clínicas Den integramos Smilecloud dentro de un ecosistema digital completo, junto a escáner intraoral 3D, CBCT Carestream 9600, Modjaw 4D y Sistema CAD/CAD, para que cada decisión clínica tenga una base más objetiva y medible.
Eso sí, la tecnología dental por sí sola no basta. Lo importante es cómo se utiliza. Por eso trabajamos con protocolos avanzados, criterio clínico y una visión centrada en las personas.
No en vano contamos con la certificación de calidad UNE 179001, que respalda nuestro compromiso con la seguridad, la excelencia y la confianza de quienes nos eligen para cuidar su sonrisa.
¿Te gustaría mejorar tu sonrisa con un diagnóstico preciso y personalizado gracias a la IA?
Contacta con nosotros. Evaluaremos tu caso y te ofreceremos el tratamiento más adecuado para ti.
Reserva tu cita ahora y deja atrás tus problemas bucodentales.
Compártelo en tus Redes Sociales
También te puede interesar...
















Lo sentimos, los comentarios están cerrados...