
Hay dos razones por las que te puede faltar un diente (o más): porque pierdes la pieza por diferentes causas (edentulismo), o simplemente, porque no nace. En este último caso, cuando el diente no erupciona porque no existe, hablamos de agenesia dental.
La ausencia de una o más piezas dentales no solo es cuestión de estética. También afecta a la funcionalidad de la boca, a la oclusión y a la estructura ósea. Como siempre, una detección temprana será clave para evitar problemas mayores.
Conozcamos, entonces, qué es la agenesia dental, cuáles son las causas, consecuencias y tratamientos para esta afección.
¿Qué es la agenesia dental?
La agenesia dental es una anomalía de origen congénito que supone la ausencia de uno o varios dientes porque estos no se han desarrollado, ya sean de leche o definitivos.
La propia etimología de la palabra agenesia nos hace intuir su significado. Proviene del griego “a-génesis” y significa “sin-nacimiento”. Por tanto, la agenesia dental es una malformación craneofacial que se produce cuando los dientes no salen.
Lo más frecuente es que afecte a las muelas del juicio (al menos un 25% de la población no tiene cordales). Sin embargo, puede ocurrir con cualquier otra pieza dental. Los incisivos laterales y premolares suelen ser los más afectados.
Que te falten las muelas del juicio no suele ser un problema. No obstante, cuando son otros los dientes que faltan, hay que estudiar el caso detenidamente, pues ya puede implicar problemas de maloclusión, afectar al desarrollo del hueso maxilar o a la autoestima de la persona.
¿Cuándo se produce?
La agenesia puede suceder en dos etapas distintas de la dentición. Todo depende de si los dientes de leche (dentición decidua) erupcionan o no, dando lugar a dos posibles escenarios:
1. Que nazcan los dientes de leche
En cuyo caso puede ocurrir que:
- al caerse los dientes temporales, los definitivos no salgan.
- los de leche no se caigan y cohabiten con el resto de piezas definitivas, siendo menor su tamaño.
2. Que directamente no salgan los dientes de leche
Y, por tanto, los definitivos tampoco.
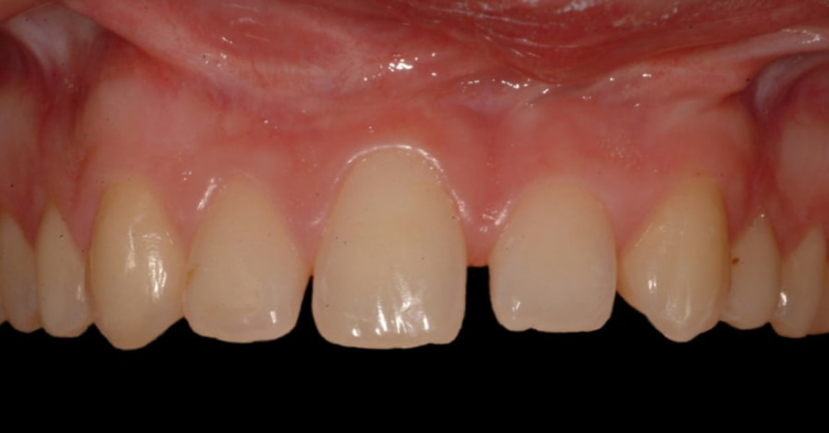
Veamos un caso de agenesia del incisivo central
En Clínicas Den abordamos los tratamientos desde una perspectiva multidisciplinar, en la que ortodoncia y estética trabajan de la mano para conseguir sonrisas armónicas, funcionales y duraderas.
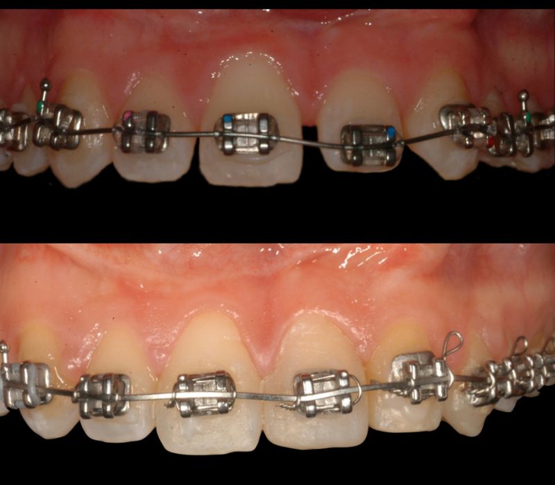
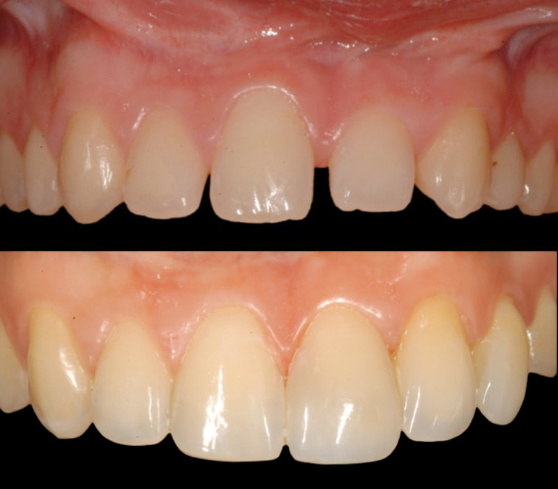
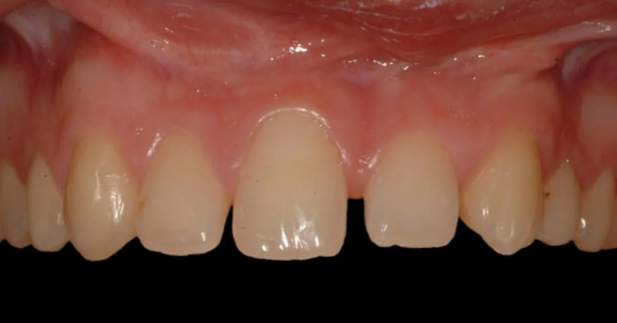
Un caso destacado fue el de un paciente con agenesia del incisivo central superior (2.1). La ausencia de esta pieza generaba un desnivel gingivo-dental y una clara alteración de la simetría de la sonrisa.
El abordaje incluyó:
- Ortodoncia con brackets metálicos para alinear la dentadura y crear el espacio ideal.
- Carillas estéticas personalizadas que devolvieron la proporción, la armonía gingival y la naturalidad a la sonrisa.
El resultado fue una sonrisa simétrica, equilibrada y estética, que no solo mejoró la apariencia, sino también la funcionalidad de la mordida y la confianza del paciente.
¿Qué tipos de agenesia dental existen?
Existen diferentes grados de agenesia dental dependiendo del número de dientes ausentes y de su posición.
Hipodoncia
Cuando son entre 1 y 6 piezas las que no nacen.
Es el caso de las personas que no tienen muelas del juicio. En este caso, la agenesia dental no supone a priori ningún trastorno para quien la padece.
Oligodoncia
Cuando son más de 6 los dientes que no se han desarrollado.
Es poco habitual, pero ahí sí que afecta a la salud bucodental de la persona.
Anodoncia
La anodoncia es la afección más extrema y rara, ya que ningún diente erupciona.
Suele ser por causas hereditarias.
Agenesia dental unilateral o bilateral
Si la agenesia afecta a un solo lado de la boca es unilateral.
Cuando la falta de piezas se produce en ambos lados se llama agenesia bilateral.
Causas de la agenesia dental
La agenesia dental se produce por:
- Factores hereditarios
- Anomalía cromosómica: suele presentarse en personas con Síndrome de Down.
- Problemas durante el embarazo: como el labio leporino o bífido.
- Si la madre sufrió durante la gestación algún proceso infeccioso.
Consecuencias de la agenesia dental
La agenesia dental no sólo tiene implicaciones estéticas.
Los espacios entre dientes (diastema) conlleva otros problemas subyacentes:
Dientes torcidos, apiñamiento y maloclusión
Al existir huecos, los dientes adyacentes se desplazan para cubrirlos, y en consecuencia, se tuercen o se produce apiñamiento dental.
Se generan problemas de maloclusión dental y en la mordida, que afectan a la funcionalidad de la boca y ocasionan problemas bucales en paralelo.
Hueso maxilar subdesarrollado
La presencia de los dientes fortalece el hueso maxilar. La ausencia de piezas dentales provocará que este no se desarrolle como debiera.
Problemas de autoestima
Los espacios en la dentadura acomplejan a quien los padece, y por ende, a su autoestima.
¿Cómo se diagnostica la agenesia dental?
Para entender si estamos o no ante un caso de agenesia dental hay que tener en cuenta la edad del paciente, la etapa de dentición, el número de dientes que tiene, cuáles le faltan y la ubicación de los mismos, etc.
Si se detecta que las piezas temporales no erupcionan se debe acudir al odontopediatra de inmediato. Del mismo modo, una señal de alerta es que los dientes de leche no terminen de caerse, ya que no existen dientes definitivos que los empujen.
En principio, en las revisiones pediátricas se controla la formación de la dentición. Ante cualquier problema o sospecha, es importante acudir a un especialista para que se haga cargo.
Para saber si estamos o no ante un caso de agenesia dental, un escáner o radiografía serán esclarecedores.
Tratamientos para la agenesia dental
Existen diferentes tratamientos dependiendo de la pieza o piezas que falten o el espacio a cubrir.
Como hemos dicho, dependerá de la edad del paciente el número de dientes, la etapa de desarrollo, el estado de la dentición, así como de otros factores: fisionómicos, óseos, oclusales, entre otros.
Prótesis y puentes
Cuando se trata de un incisivo se produce una diferencia de tamaño entre el diente de leche y los definitivos.
En este caso, puede colocarse una prótesis dental que preserve el espacio durante la etapa de crecimiento y así se facilite un implante futuro.
Cuando a la persona le faltan varias piezas dentales, un puente dental o una prótesis fija se alzan como soluciones efectivas.
Mantenedores de espacio
En el caso de agenesia infantil, una solución pasa por utilizar mantenedores de espacio para evitar que los dientes adyacentes se desplacen.
De esta manera, se mantiene el hueco, hasta que el resto de piezas se desarrollen, momento en el que se procederá a realizar un implante dental para el diente que falta.
Implantes dentales
Como ves, los implantes dentales son una opción muy socorrida para cubrir los espacios de los dientes faltantes, una vez ha finalizado la dentición.
En el caso de premolares y molares de leche que no se han caído, se suele mantener la pieza hasta que finaliza la etapa de desarrollo. Posteriormente, se valora si extraerla o esperar a que caiga de forma natural. Es entonces cuando se recurre al implante y a la corona dental.
En lo que se refiere a los implantes, es necesario evaluar la calidad del hueso para asegurarnos de que este no se ha visto afectado por la agenesia.
» Descubre con Clínicas Den: ¿Se pueden poner implantes dentales sin hueso?
Ortodoncia dental
Dependiendo del espacio, el dentista puede optar por un tratamiento de ortodoncia, para reducir el espacio existente y que los demás dientes crezcan con normalidad y sin que les afecte ese hueco.
Carillas dentales
Los caninos pueden convertirse en incisivos laterales gracias a las carillas dentales.
Las carillas dentales son unas finas láminas de composite o porcelana que se pegan en la superficie del diente de leche, aportando la forma y tamaño deseado y devolviendo la proporcionalidad a la boca.
Si el diente de leche no se ha caído, el tamaño de la pieza es sensiblemente menor a los definitivos. Dependiendo del tamaño a restaurar, la carilla dental puede solventar este pequeño trastorno.
Conclusión
El “no nacimiento” de algunos dientes no solo ocasiona problemas estéticos, sino también funcionales (masticación, pronunciación, salivación…) de maloclusión y de autoestima.
Por ello, es importante detectar la agenesia dental en edades tempranas para que el desarrollo de la dentición se efectúe de forma óptima.
En cualquier caso, existen diferentes tratamientos para solucionar la falta de dientes. Obviamente, son tratamientos totalmente personalizados, pues dependen del número de piezas faltantes, el espacio existente, la etapa de dentición en la que se encuentre el paciente y de su salud bucodental.
¿Tienes alguna consulta más sobre la agenesia dental?
Si lo necesitas, ponte en contacto con nosotros a través de nuestro formulario.
Desde nuestra Clínica Dental en Barcelona estaremos encantados de ayudarte.
Compártelo en tus Redes Sociales
También te puede interesar...









Lo sentimos, los comentarios están cerrados...