
¿Notas la mandíbula cargada y tienes la sensación de que te está cambiando la forma de la cara? ¿Te levantas con dolor de cabeza y tus dientes están cada vez más desgastados?
Muchas veces, detrás de estos síntomas está el bruxismo. Ese hábito de apretar o rechinar los dientes por la noche no solo daña tu sonrisa, también impacta en tu rostro y la manera en que masticas.
Si te reconoces en estas líneas, calma, porque tiene solución. De hecho, te vamos a mostrar el bruxismo antes y después en la cara para que veas que el cambio es espectacular tanto a nivel estético como funcional. Empezamos.
¿Qué efectos tiene el bruxismo en la cara y la mandíbula?
El bruxismo es el hábito involuntario de apretar o rechinar los dientes, especialmente durante la noche.
Aunque al principio puede pasar desapercibido, sus consecuencias afectan tanto a la boca como a la musculatura facial y la articulación temporomandibular (ATM).
Todo esto provoca cambios visibles en la cara y molestias que se intensifican con el tiempo, entre otras razones:
Cara más cuadrada o ancha
El músculo masetero es uno de los principales responsables de la masticación. Cuando aprietas los dientes de forma continua, este músculo trabaja en exceso y acaba aumentando de tamaño.
Ese crecimiento, conocido como hipertrofia del masetero, ensancha la parte inferior de la cara y le da un aspecto más cuadrado.
Muchas personas notan este cambio en fotos antiguas, donde la mandíbula se veía más estilizada.
En algunos casos, se utiliza la infiltración de botox (toxina botulínica), que relaja el masetero, reduce su tamaño, suaviza el contorno facial y disminuye la tensión mandibular.
Mandíbula rígida y dolorida
La mandíbula es una de las zonas más castigadas por esta afección.
Tras pasar la noche apretando, es común despertarse con sensación de rigidez o incluso dolor al masticar.
Este sobreesfuerzo afecta a la articulación temporomandibular (ATM), la estructura que conecta la mandíbula con el cráneo y que nos permite abrir y cerrar la boca.
Cuando esta articulación se ve afectada, la movilidad se reduce y el dolor puede volverse recurrente, hasta convertirse en un problema crónico si no se trata.
Desgaste dental visible al sonreír
Su efecto más evidente se aprecia en las piezas dentales.
El roce constante erosiona el esmalte, que es la capa protectora natural, y provoca que los dientes pierdan su forma original.
Los bordes se aplanan, parecen más cortos y la sonrisa pierde proporción y naturalidad.
En fases avanzadas aparecen microfisuras o fracturas, y también es habitual que aumente la sensibilidad al frío, al calor o a ciertos alimentos.
Apariencia más cansada o envejecida
El impacto del rechinamiento va más allá de los dientes.
La tensión muscular continua endurece los rasgos faciales y hace que la piel se vea menos relajada.
Aunque hayas dormido bien, la cara puede transmitir una expresión de cansancio.
Además, el desgaste dental reduce la altura de la mordida, lo que significa que el soporte natural del rostro disminuye.
Este cambio provoca que las facciones se vean más marcadas y que aparezca una sensación de envejecimiento prematuro.
Dolor de cabeza, cuello u oído sin causa aparente
El dolor derivado del bruxismo no siempre ocurre en los dientes.
La tensión acumulada en los músculos de la mandíbula se irradia hacia zonas cercanas, y genera molestias en la cabeza, el cuello e incluso en los oídos.
Por esta razón, muchas personas confunden estos síntomas con migrañas, problemas cervicales o infecciones de oído.
Si no se diagnostica a tiempo, el dolor persiste y se convierte en una molestia crónica que afecta al día a día.
Testimonio real de Clínicas Den “Hubo un antes y un después”
No hay nada como escuchar a alguien que ya lo ha vivido para entender de verdad cómo afecta esta condición. Álex, paciente de Clínicas Den, lo explica con claridad:
“Siempre tenía algún dolor o alguna molestia en la boca y era por un problema de base: el bruxismo. En Clínicas Den me lo localizaron, me trataron y, desde ese momento, mi vida cambió.”
En este vídeo, Álex cuenta cómo fue su experiencia:


Casos de bruxismo antes y después del tratamiento
En Clínicas Den hemos tratado numerosos casos de bruxismo. El antes y el después muestran cómo cambia la cara, la mandíbula y la sonrisa tras un abordaje integral.
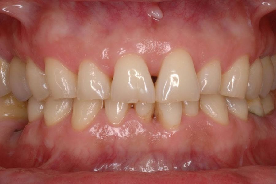
Caso 1: dolor muscular, articular y desgaste
El paciente presentaba dolor muscular y articular.
Estas molestias son habituales cuando la articulación temporomandibular (ATM), la zona que conecta la mandíbula con el cráneo, está afectada.
El desgaste dental también era evidente y limitaba la función al masticar.
- Antes: molestias constantes, rigidez mandibular y dientes visiblemente desgastados.
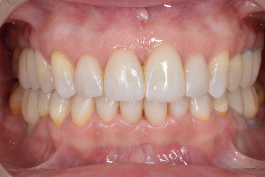
- Tratamiento: se utilizó una férula de desprogramación para descargar la mandíbula y recuperar el movimiento articular.
Después, la rehabilitación oral se completó con carillas de cerámica y composite de alta estética, consiguiendo una dentadura bonita y funcional.
- Después: estabilización mandibular, tonificación muscular y una sonrisa renovada y natural.


Caso 2: desgaste, fractura e insatisfacción estética
El paciente presentaba fracturas en dos piezas dentales y un desgaste evidente.
El bruxismo había debilitado la estructura de los dientes y provocado una sonrisa desproporcionada, con mayor exposición gingival.
- Antes: fracturas visibles y una sonrisa poco armónica, con exceso de encía al sonreír.
- Tratamiento: inicialmente se utilizó una férula de desprogramación para restablecer el movimiento mandibular.
Mientras tanto, se planificó el diseño de sonrisa con el objetivo de recuperar la funcionalidad, mejorar la apariencia y corregir la sonrisa gingival.
La rehabilitación se completó con coronas de zirconio monolítico maquillado, prótesis dentales que se caracterizan por su precisión, resistencia y aspecto natural.
- Después: recuperación de la función masticatoria y una sonrisa más equilibrada y rejuvenecida.


Caso 3: edentulismo en posteriores, desgaste y molestias articulares
Este paciente presentaba edentulismo posterior (ausencia de piezas en la parte trasera de la boca), lo que dificultaba la masticación y aumentaba la tensión en la mandíbula.
A ello se sumaba un desgaste generalizado y molestias en la articulación temporomandibular.
- Antes: pérdida de dientes posteriores, desgaste dental y dolor articular.
- Tratamiento: el plan comenzó con una férula de desprogramación para estabilizar la mandíbula.
A continuación, se realizó una rehabilitación integral con carillas de alta estética y coronas de zirconio monolíticas sobre dientes e implantes.
- Después: recuperación de la función masticatoria, mayor estabilidad y una sonrisa más uniforme.


Caso 4: Desgaste dental, dolores mandibulares y falta de estética
El paciente sufría erosión dental avanzada, acompañada de dolor mandibular recurrente y un deterioro dental notable. Estos problemas afectaban tanto a su calidad de vida como a la apariencia de la sonrisa.
- Antes: dolores frecuentes, dientes erosionados y una sonrisa deteriorada.
- Tratamiento: se inició con una férula de desprogramación para aliviar la tensión y estabilizar la mordida.
De nuevo, se planificó un diseño digital de sonrisa y se completó la rehabilitación con carillas de cerámica en el sector superior y composites de alta estética en el inferior.
- Después: reducción del dolor, estabilización funcional y una sonrisa rejuvenecida.


Caso 5: Desgaste y dolor generalizado
En este caso avanzado, esta anomalía había provocado una pérdida de dimensión vertical, es decir, una reducción en la altura entre mandíbula y maxilar que hacía que el rostro se viera más envejecido y hundido.
El paciente sufría molestias constantes y una función masticatoria muy limitada.
- Antes: sonrisa envejecida, dolor generalizado y pérdida de soporte facial.
- Tratamiento: se utilizó una férula de desprogramación para relajar la musculatura y estabilizar la mordida.
Posteriormente, se llevó a cabo una rehabilitación oral total con resinas posteriores y carillas feldespáticas anteriores, devolviendo soporte y estética.
- Después: recuperación del soporte facial, desaparición del dolor y una sonrisa natural y revitalizada.


Conclusión
El bruxismo no solo desgasta los dientes: también altera la forma de la cara, endurece los rasgos y provoca molestias que pueden hacerse crónicas.
Los casos tratados demuestran que, con un diagnóstico adecuado y un correcto plan integral, el antes y después en la cara es evidente: el dolor desaparece, la mandíbula se estabiliza y la sonrisa recupera un resultado natural y saludable.
Nuestro equipo aborda cada caso de forma personalizada, ofreciendo resultados que mejoran la salud bucal, devuelven la función oral y suavizan la expresión facial de nuestros pacientes.
¿Quieres ver tu propio antes y después?
En Clínicas Den contamos con los mejores especialistas en bruxismo de Barcelona. Analizamos tu caso, tratamos las causas y recuperamos la proporción y funcionalidad de tu sonrisa.
Reserva ahora tu cita y descubre cómo puede cambiar tu rostro y tu calidad de vida.
Compártelo en tus Redes Sociales
También te puede interesar...



Lo sentimos, los comentarios están cerrados...