
La recesión de encías es un problema periodontal que no solo afecta a la estética de la sonrisa, sino que también genera problemas de sensibilidad dental y daños en dientes e implantes a largo plazo.
Y es aquí donde aparece el injerto de encía como una solución efectiva para proteger y dar estabilidad a la estructura dental de los pacientes.
¿Quieres saber cómo funciona este tratamiento? Pues en este artículo vamos a resolver todas las dudas que puedas tener.
¿Qué es un injerto de encía?
El injerto de encía es una intervención que implica la extracción de tejido de una parte blanda de la boca (que actúa como zona donante) para cubrir la raíz de un diente o un implante dental que ha quedado expuesto.
Esta técnica, también conocida como cirugía plástica periodontal, ayuda a prevenir complicaciones futuras causadas por la recesión gingival.
¿Por qué se produce la recesión de encías?
La encía funciona como un pilar para dientes e implantes, salvaguardándolos contra daños mecánicos (por ejemplo, el cepillado y la masticación) y los ácidos bucales. También cubre los espacios entre los dientes y ayuda a prevenir la acumulación de alimentos.
No obstante, puede ocurrir que las encías se retraigan. Esto significa que el tejido que rodea al diente disminuye progresivamente, y si no se interviene, el proceso puede continuar y dañar el diente y las estructuras adyacentes.
Son varios los factores que pueden causar la recesión de las encías:
- Afecciones como la gingivitis o periodontitis.
- Técnica inadecuada de cepillado.
- Hábitos perjudiciales como el uso de palillos o tener piercings en labios o lengua.
- El tabaquismo es otro factor de riesgo que provoca muchos trastornos dentales.
Tratamientos de ortodoncia sin un control adecuado.
Golpes en la boca.
El bruxismo afecta a la pérdida del esmalte en el cuello del diente y genera recesiones gingivales.
Encías más finas y propensas a retraerse.
Cambios hormonales como el embarazo.
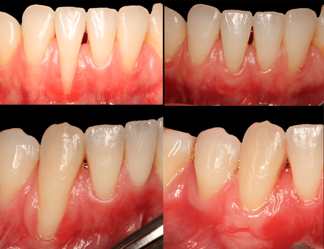
Caso clínico real: Injerto de encía antes y después en el sector anteroinferior
En este caso tratamos a un paciente con recesión gingival en la zona anteroinferior. Se realizó un injerto de tejido blando para recuperar la encía perdida y proteger las raíces expuestas.
En las imágenes puedes ver el antes y el después del procedimiento.
¿De dónde proviene el tejido utilizado en un injerto de encía?
Las áreas más frecuentes para obtener tejido en un injerto de encía son el paladar duro y la tuberosidad.
La decisión de elegir una zona u otra dependerá tanto de la cantidad de tejido que se necesite como de las características específicas de grosor requeridas para el procedimiento.
Paladar duro
Esta área se extiende desde la zona de los terceros molares (muelas del juicio) hasta cerca del canino.
En función del paciente, el paladar duro puede proporcionar el grosor necesario para realizar tanto el injerto de encía libre como el injerto en túnel o en sobre.
Tuberosidad
Esta área se encuentra alrededor de los terceros molares.
La tuberosidad suele tener un grosor mayor y es preferida para aquellos casos en los que se requiere un injerto de mayor volumen.
Tipos de injertos de encía
Existen tres tipos o técnicas diferentes, dependiendo de la severidad de la recesión y del estado de la gingiva del paciente:
Injerto gingival pediculado
Este procedimiento también es conocido como colgajo de reposición coronal.
En este caso no hay tejido donante, sino que es la propia encía la que se levanta y estira o corta, y cose para cubrir la raíz.
Esta técnica solo es posible cuando existe suficiente tejido gingival sano.
Injertos con tejidos donados o procesados
Aquí distinguimos tres tipos.
Injerto de encía libre
Se toma una pequeña porción superficial de tejido, incluyendo el epitelio, de las zonas donantes como el paladar duro o la tuberosidad.
Se aplica cuando no hay suficiente encía o es demasiado fina.
Injerto de tejido conectivo, en túnel o sobre
Este es el injerto más utilizado. Se extrae tejido conectivo de una capa más profunda del paladar o de cerca de las muelas del juicio superiores.
Este método se emplea para aumentar el grosor de la encía o para cubrir recesiones concretas.
Injerto de materiales artificiales
Se emplean tejidos procesados de origen animal o humano (cadavérico) especialmente tratados para este uso.
El propósito de todos estos tipos de injertos es cubrir la recesión gingival y conseguir un grosor adecuado de la encía para prevenir futuras retracciones.
¿Cómo se hace un injerto de encía?
Según la Sociedad Española de Periodoncia y Osteointegración (SEPA), el trasplante de encía es un procedimiento quirúrgico mínimamente invasivo.
La duración media estimada es de una hora, durante la cual se lleva a cabo:
1. Preparación del lecho receptor
En primer lugar, se prepara el sitio en el diente o implante donde se colocará el injerto.
Esto implica limpiar la raíz que ha quedado al descubierto, pulirla y hacer incisiones en el tejido gingival circundante para poder acoger el nuevo tejido.
2. Obtención del injerto de encía
A continuación, se recolecta el tejido para el injerto.
Si se utiliza tejido del propio paciente, se hacen cortes precisos en la zona donante y se traslada el tejido a la zona receptora.
Si el injerto es de un material artificial, se prepara de acuerdo con las especificaciones del fabricante y se moldea para que encaje en el área que se va a tratar.
3. Colocación y sutura del injerto
El último paso es colocar el injerto en el sitio preparado y suturarlo para asegurar su posición y promover la integración y cicatrización con el tejido circundante.
¿Duele el injerto de encía?
Durante la cirugía de injerto de encía se administra anestesia local, por lo que el procedimiento en sí no es doloroso. Si la persona es aprensiva, puede recurrir a la sedación consciente.
En el postoperatorio sí es habitual sentir algunas molestias.
El malestar puede presentarse tanto en la zona donante como en la zona receptora, y en general, se alivia con analgésicos.
¿Qué cuidados postoperatorios seguir después de un injerto de encía?
Estos cuidados aplican a cualquier procedimiento dental (como las extracciones de muelas del juicio, por ejemplo) que implique sangrado, y son esenciales para una recuperación adecuada.
- El día de la cirugía, limita tu alimentación a comidas blandas y frías o a temperatura ambiente. Evita comidas calientes.
- Aplica hielo en la zona operada durante las primeras horas ayuda a reducir la inflamación y prevenir hematomas, aunque su aparición es normal.
- Si el área del injerto sangra, utiliza una gasa seca y ejerce presión mordiendo o con el dedo.
- Evita mover el labio excesivamente o mirar el injerto tirando del labio, ya que esto puede hacer que el injerto se desplace o se desprenda.
- No realices enjuagues bucales durante las primeras 48 horas para evitar desalojar el coágulo de sangre que se forma y favorece la cicatrización.
- Después de ese tiempo, y por una semana, realiza enjuagues suaves con agua salada o clorhexidina dos veces al día. No hagas gárgaras fuertes. Simplemente, deja que la solución actúe en la herida.
- Al lavarte los dientes, no cepilles la zona afectada directamente para no interferir con los puntos de sutura y la cicatrización.
- Sigue las instrucciones de tu doctor respecto a la medicación prescrita.
- Abstente de fumar hasta que el injerto haya cicatrizado completamente, ya que el tabaco puede retrasar la cicatrización, incrementar el riesgo de infección y comprometer el éxito de la intervención.
¿Cuánto tiempo tarda en sanar un injerto de encía?
Después de la sutura, el injerto de encía suele cicatrizar en unas 2-3 semanas, por eso los cuidados en los primeros días son esenciales para una buena recuperación.
Posibles complicaciones tras el injerto de encía
Lo más normal es que la cirugía de injerto de encía transcurra sin complicaciones. Sin embargo, no está de más conocer los posibles contratiempos que puedan surgir.
1. Sangrado postoperatorio
Este sangrado puede clasificarse como normal o excesivo.
Sangrado normal
El normal puede presentarse tras desaparecer el efecto de la anestesia, aumentando la cantidad de sangrado en la zona donante o receptora.
Normalmente, este tipo de sangrado puede controlarse aplicando presión con una gasa seca.
Sangrado excesivo
El sangrado excesivo se caracteriza por no detenerse aunque se presione. Esto puede deberse a la exposición de capilares en la zona tratada.
En tal caso, se debe presionar con una gasa humedecida en Amchafibrin o algún otro agente hemostático, y a veces se requiere colocar una esponja de fibrina o añadir puntos de sutura adicionales.
Es importante asegurarse de que el paciente no presente un sangrado abundante al abandonar la clínica dental.
2. Necrosis del tejido
La necrosis o movilidad del injerto de encía puede ser consecuencia de una técnica de sutura incorrecta o por acciones del paciente que afectan la estabilidad de los puntos.
Esta es la complicación más habitual y se presenta con frecuencia en pacientes fumadores, lo que subraya la importancia de dejar de fumar durante el tratamiento.
La necrosis también sucede en casos de traumatismo que provocan el desprendimiento del injerto.
Cualquier movimiento del injerto puede comprometer seriamente el resultado del tratamiento.
3. Injerto insuficiente o cobertura incompleta
Si el injerto no termina de cubrir la zona afectada, puede ser necesario un segundo injerto.
El paciente ha de ser avisado de que existe esta posibilidad antes de la cirugía, ya que no todos los casos se resuelven con una única intervención.
Conclusión
El injerto de encía es una intervención mínimamente invasiva que restaura los daños causados por la recesión gingival.
Es fundamental tener en cuenta que esta retracción puede causar sensibilidad, movilidad dental y problemas estéticos, por lo que es esencial actuar cuanto antes.
¿Tienes alguna duda más sobre el injerto de encías?
Ponte en contacto con nosotros o visita nuestra clínica dental en Barcelona.
Compártelo en tus Redes Sociales
También te puede interesar...






Lo sentimos, los comentarios están cerrados...