
Las coronas sobre implantes dentales representan una solución innovadora y eficaz en el campo de la odontología restauradora. En esencia, este tratamiento combina dos elementos clave: un implante dental, que actúa como la raíz artificial del diente, y una corona dental, diseñada a medida para imitar la función y apariencia del diente perdido.
En este artículo veremos en qué consiste esta técnica, qué tipos existen y cuáles son los materiales más utilizados. Descubrirás cómo las coronas sobre implantes no solo mejoran la estética dental, sino también la calidad de vida de las personas.
¿Qué son las coronas sobre implantes?
Las coronas sobre implantes dentales son parte de un tratamiento para reemplazar dientes perdidos o dañados, combinando dos componentes esenciales: un implante dental y una corona dental.
A grandes rasgos, los dientes se componen de dos partes: la raíz, que se inserta en el hueso alveolar (maxilar o mandibular) y es la encargada de sujetar el diente; y la corona, que es la parte esmaltada que vemos.
Las coronas sobre implantes lo que van a hacer es reemplazar a la raíz y la corona natural cuando se pierden una o varias piezas dentales.
El implante, generalmente hecho de titanio, se inserta en el hueso alveolar del maxilar o mandíbula, actuando como una raíz artificial para el diente. Sobre este implante se va a colocar la corona, una prótesis dental diseñada a medida para cada paciente, replicando la forma, tamaño y color del diente natural que se ha perdido.
Su colocación requiere de un minucioso estudio previo, un diagnóstico personalizado y una planificación y ejecución detallada que incluye la osteointegración del implante, la toma de impresiones, pruebas de ajuste y, finalmente, la fijación de la corona.
Gracias a las coronas sobre implantes, los pacientes recuperan la funcionalidad y la estética de su boca.
¿Cuándo están indicadas las coronas sobre implantes?
Los implantes dentales ayudan a prevenir la pérdida ósea que normalmente acompaña a la pérdida de dientes, manteniendo la integridad estructural del maxilar. También evitan el desplazamiento de los dientes adyacentes.
Por tanto, este tratamiento no solo implica recuperar la armonía estética, también la funcionalidad bucal, así como la prevención de los problemas que acarrea el edentulismo.
Veamos en detalle sus aplicaciones:
Pérdida de un solo diente
Cuando se pierde un diente, ya sea por trauma, enfermedad periodontal o caries, una corona sobre implante puede reemplazarlo de manera efectiva, manteniendo la alineación dental y la funcionalidad masticatoria.
Pérdida múltiple de dientes
En casos donde varios dientes adyacentes están ausentes, se pueden utilizar coronas sobre implantes para reemplazar cada diente individualmente, evitando así el desgaste o movilidad de los dientes sanos adyacentes, y la pérdida de hueso dental.
Cuestión estética
Hay personas que buscan mejorar la estética de su sonrisa debido a que tienen los dientes amarillentos, manchas dentales, piezas dañadas o ausentes. Las coronas sobre implantes ofrecen una solución que combina la apariencia natural con la durabilidad y la efectividad.
Dientes dañados de forma irreparable
En situaciones donde un diente está tan dañado que no puede ser salvado con tratamientos convencionales, la combinación de un implante y una corona es una opción más que recomendable.
Mejora de la función masticatoria
Para aquellos que han perdido la eficiencia masticatoria debido a la ausencia de uno o más dientes, este tratamiento permite recuperar la funcionalidad.
Alternativa a prótesis removibles
Si quieres decir adiós a las prótesis removibles (como las dentaduras postizas), las coronas sobre implantes representan una solución permanente y cómoda.
Decimos “permanente” en el sentido de que los implantes gozan de una durabilidad muy alta.
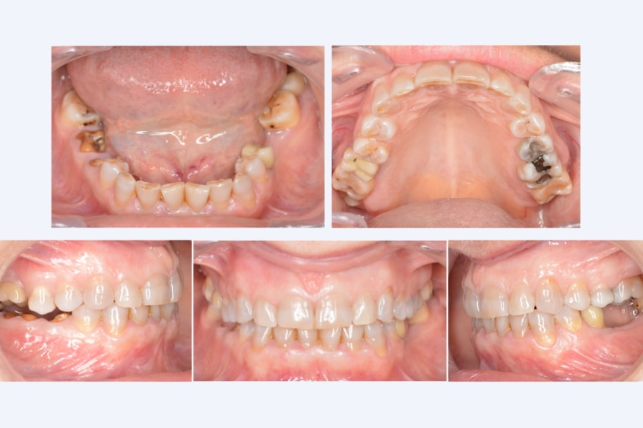
Caso de pérdida de dientes posteriores, desgaste y molestias articulares
La paciente acudió a consulta por la pérdida de varias piezas posteriores, sensación de desgaste dental y molestias articulares al mover la mandíbula.
La ausencia de soporte en los dientes de atrás había alterado su mordida, provocando tensión muscular y un desgaste progresivo de los dientes anteriores. Esto afectaba tanto a la función masticatoria como a la armonía facial.
- Antes: pérdida de dientes posteriores, desgaste dental visible y molestias articulares frecuentes.
- Tratamiento: se inició una fase de estabilización mandibular con férula de desprogramación para aliviar la tensión muscular y recuperar el equilibrio articular.
Una vez alcanzada la estabilidad, se realizó una rehabilitación oral completa y mínimamente invasiva, combinando carillas de alta estética en el sector anterior con coronas de zirconio monolíticas sobre dientes e implantes. Este abordaje devolvió la función y la estética sin desgastar en exceso las piezas naturales.
- Después: la paciente recuperó una mordida estable, sin molestias articulares, y una sonrisa uniforme, funcional y natural.
¿Qué tipos de coronas sobre implantes dentales existen?
Las coronas sobre implantes dentales pueden ser de diferentes tipos, en función de las necesidades específicas de cada paciente.
Coronas atornilladas sobre implantes
Estas coronas se aseguran al implante mediante un tornillo, lo cual permite colocarlas y retirarlas de manera sencilla.
Se recomiendan en casos donde los implantes no están perfectamente alineados o se encuentran en una posición más profunda, o cuando la encía que cubre el implante tiene un grosor significativo.
Coronas cementadas sobre implantes
La corona se fija al implante usando un cemento dental especial.
Ofrecen una apariencia muy natural y la distribución de las fuerzas de oclusión es más uniforme.
Son recomendables en situaciones donde la estética es una preocupación primordial, y cuando las restauraciones son múltiples.
¿De qué material son las coronas sobre implantes?
Las coronas sobre implantes pueden estar fabricadas de diversos materiales, cada uno con características específicas que se adaptan a diferentes necesidades estéticas y funcionales.
Coronas de cerámica o porcelana sobre implantes
Fabricadas completamente de cerámica o porcelana, estas coronas ofrecen una apariencia muy natural. Imitan el color y la translucidez de los dientes naturales de manera excepcional.
Son ideales para aquellas personas que buscan una solución básicamente estética.
Coronas de metal-cerámica sobre implantes
Tienen una base de metal recubierta con una capa de cerámica. Combinan la fuerza del metal con la estética de la cerámica.
Proporcionan una mayor durabilidad que las coronas totalmente cerámicas y son más estéticas que las coronas completamente metálicas.
Con el uso se desgastan, dejando ver la pieza metálica que hay debajo, lo que resulta poco atractivo. Es por esto, que se recomienda su utilización para los molares, donde se prioriza la fuerza a la estética.
Coronas de zirconio sobre implantes
Están hechas de dióxido de zirconio, un material cerámico de alta resistencia y biocompatible.
Combina la resistencia del metal con la apariencia de la cerámica, siendo muy resistente y estético. El acabado es natural y no se oscurece con el tiempo.
Es la opción más recomendable en la actualidad.
Coronas de resina compuesta o composite
Se utilizan como solución temporal mientras se fabrica la corona definitiva.
Coronas de oro y aleaciones metálicas
Estas coronas están en extinción. Se caracterizan por su durabilidad; sin embargo, carecen de sentido estético. De ahí, que es una opción para dientes posteriores.
» También te puede interesar: ¿De qué material son los implantes dentales?
¿Cómo se coloca la corona en un implante dental?
En primer lugar, se va a insertar el implante en la boca del paciente.
Hay que esperar un tiempo medio de 8-12 semanas para que cicatricen los tejidos blandos y se produzca lo que se conoce como osteointegración. Una vez esté todo en orden, se procede a colocar la corona definitiva.
Para no privar al paciente de la funcionalidad y la estética dental mientras se cura, existe el llamado implante de carga inmediata. Este tratamiento consiste en colocar el implante y una corona provisional en la misma sesión. Y ya, cuando la encía y el hueso están sanos, se coloca la corona final.
Eso sí, cuando son varios dientes los que se restauran de forma simultánea, la carga inmediata puede posponerse unas 24-48 horas.
¿Cuáles son las ventajas de las coronas sobre implantes dentales?
Las coronas sobre implantes dentales ofrecen múltiples beneficios tanto a nivel funcional como estético, lo que las convierte en una opción preferente en la rehabilitación oral.
Entre sus principales ventajas destacan:
Aspecto natural
Las coronas sobre implantes proporcionan un resultado muy natural, mejorando así la estética y la confianza del paciente.
Preservación de la estructura ósea
Los implantes estimulan el hueso de la mandíbula, previniendo la pérdida ósea que suele ocurrir con el edentulismo o pérdida de dientes.
Por tanto, ayudan a mantener la integridad estructural ósea y el contorno facial.
Durabilidad
Los implantes se caracterizan por su alta tasa de éxito y durabilidad. Por su parte, las coronas de zirconio se caracterizan también por su longevidad.
Con un cuidado adecuado, ambos componentes pueden durar muchos años, e incluso décadas.
Rehabilitación funcional
Restauran la capacidad de masticar y hablar de manera efectiva, similar a como lo harían los dientes naturales.
Mantenimiento sencillo
Su cuidado y mantenimiento son similares al de los dientes naturales, con rutinas regulares de cepillado y uso de hilo dental.
Solución permanente y cómoda
A diferencia de las dentaduras postizas removibles, las coronas sobre implantes son una solución fija y permanente, lo que proporciona confort y seguridad al paciente.
Tampoco requieren adhesivos para su fijación, lo que las hace más cómodas y prácticas para el uso diario.
Prevención del desplazamiento de dientes
Ayudan a mantener los dientes adyacentes en su lugar, evitando su desplazamiento debido a espacios vacíos en la dentadura.
Mejora de la salud oral general
Al reemplazar los dientes perdidos, las coronas sobre implantes ayudan a conservar la alineación correcta de la mordida y reducen el riesgo de problemas dentales relacionados.
Conclusión
Las coronas sobre implantes dentales representan un avance significativo en el campo de la odontología restauradora, brindando una solución eficiente y duradera para pérdidas y daños en los dientes.
Como hemos visto, este tratamiento aporta numerosos beneficios: desde la preservación de la estructura ósea y la mejora en la función masticatoria, hasta la restauración estética y la protección de los dientes adyacentes.
En definitiva, sus resultados no solo satisfacen las expectativas estéticas, sino que también contribuyen a una mejor salud oral.
¿Tienes alguna duda más sobre las coronas sobre implantes?
Ponte en contacto con nosotros o visita nuestra clínica dental en Barcelona.
Compártelo en tus Redes Sociales
También te puede interesar...






Lo sentimos, los comentarios están cerrados...