
Conseguir una sonrisa alineada depende de un buen diagnóstico y de la elección del tratamiento adecuado. Pero, ¿qué es mejor, ortodoncia invisible o brackets?, ¿en qué se diferencian y cómo afecta cada uno a la comodidad, la higiene y el proceso de corrección dental?
En este artículo responderemos a todas estas cuestiones y muchas más.
Analizaremos las principales diferencias entre la ortodoncia invisible y los brackets, y veremos en qué consiste cada sistema para entender cuál se ajusta mejor a cada caso.
¿Qué es mejor, la ortodoncia invisible o brackets?
Ambos sistemas, ortodoncia invisible o brackets, son muy efectivos a la hora de alinear dientes y corregir la mordida, que ejercen fuerza de forma constante sobre los dientes para llevarlos a su posición correcta.
La elección dependerá de tus gustos, presupuesto y, sobre todo, del problema dental a solucionar.
Si buscas comodidad, estética e higiene, la ortodoncia invisible es una gran opción, siempre que no tengas un problema periodontal que haya que solucionar previamente.
Y si quieres buen precio o eres una persona poco disciplinada, los brackets se perfilan como la mejor solución.
Sin embargo, también va a pesar en la decisión el problema dental a solucionar.
A grandes rasgos, los alineadores se recomiendan para pacientes que buscan una solución estética a su sonrisa y para casos de separación o apiñamiento más leves o moderados. Mientras que los brackets siempre van perfectos para casos muy complicados.
Dicho esto, la decisión de escoger entre ortodoncia invisible o brackets pasa por consultar con un ortodoncista, para que estudie tu caso y te asesore.
¿Cuáles son las principales diferencias entre ortodoncia invisible y brackets?
Si bien la ortodoncia invisible y los brackets son sistemas de alta calidad e integración natural, presentan diferencias importantes en cuanto a sus características, usos y estética. Todo ello va a influir en su elección teniendo en cuenta el diagnóstico y las preferencias del paciente.
Estética
La principal diferencia visible entre ambos materiales es su aspecto.
A diferencia de los brackets metálicos clásicos, los alineadores de ortodoncia estética pasan muy desapercibidos, ya que son completamente transparentes y casi no sobresalen, como si fuese una funda plástica que recubre tu sonrisa.
Sin embargo, los de zafiro, cerámica o resina son la versión más discreta de los brackets clásicos, aunque no son totalmente invisibles.
Higiene dental
Los alineadores invisibles se pueden quitar o poner. Al retirarse la férula, esta puede higienizarse y los dientes pueden lavarse mejor, llegando a todos los rincones.
En cambio, cepillarse los dientes con brackets es un poco más laborioso. Es más, una higiene incorrecta puede derivar en desmineralización de los dientes, gingivitis, sensibilidad dental, placa, sarro y mal aliento.
Resistencia
El material de los brackets es de acero inoxidable y níquel. Es difícil que los arcos y brackets se rompan y, si se caen, pueden cementarse más de una vez.
Por otro lado, los alineadores transparentes están fabricados con un material plástico resistente y flexible. Soportan bien el uso diario, aunque pueden deformarse si no se manipulan correctamente o si reciben presión excesiva.
Comodidad
El uso de los aparatos invisibles es mucho más llevadero, dado que puedes quitarte el aparato para comer y cepillarte los dientes.
Al quitar el aparato para comer y cepillarte los dientes, su uso es más llevadero. E incluso puedes sacarlo puntualmente para algún evento social o hacer deporte.
Los brackets, en cambio, son fijos y pueden generar más molestias. Es habitual que rocen la mucosa y provoquen llagas, sobre todo al inicio del tratamiento. Además, en muchos casos es necesario llevar gomas elásticas, lo que añade incomodidad.
Eso sí, los alineadores requieren un pequeño periodo de adaptación al hablar. En algunas personas, pueden afectar a la pronunciación durante los primeros días.
Responsabilidad del paciente
La gran ventaja de la ortodoncia invisible es también su gran desventaja.
Si el paciente no es cuidadoso o disciplinado puede perder los aparatos o llevarlos puestos menos horas al día de las necesarias (20 horas como mínimo).
Lo ideal es llevar las férulas en todo momento y quitarselas tan solo para limpiarlas, lavarse los dientes, comer o beber cualquier otra cosa que no sea agua. En total, no deberían estar fuera de la boca más de dos a tres horas al día, como mucho.
Obviamente, este problema no existe con los brackets, ya sean metálicos, linguales o de materiales cerámicos.
Duración del tratamiento
Al utilizar ortodoncia invisible, el tratamiento dura menos tiempo que si se colocan brackets.
Gracias a este sistema, las revisiones con tu dentista son más espaciadas en el tiempo y también duran menos en consulta.
Complejidad del caso
Los brackets funcionan muy bien en casos severos, puesto que solucionan cualquier alineación incorrecta, posicionamiento o mordida, y resuelven muy bien los casos más complicados de apiñamiento o separación.
Pero depende del sistema, en caso de alineadores invisibles DEN Tratamos desde casos leves hasta los más complejos con un enfoque multidisciplinar:
- MINIMAL DEN: Resultados simples y rápidos para pacientes con apiñamiento muy leve o ligeras malposiciones dentales.
- MODERATE DEN: Corrige apiñamientos dentales, diastemas, cambios verticales y expansiones moderadas.
- HYBRID DEN: Resuelve alteraciones funcionales de la mordida, maloclusiones, problemas de ATM y apiñamientos dentales avanzados.
Precio
Por lo general, los brackets metálicos son la opción más económica.
Tienen menos coste que los alineadores transparentes y cualquier otra variedad de brackets estéticos, lo que los convierte en un método asequible, apto para muchos bolsillos.
Sin embargo, depende de varios factores como la tecnología utilizada, la personalización, la complejidad del caso y la duración del tratamiento
Casos reales de ortodoncia invisible y brackets en Clínica dental Den
¿Quieres ver casos reales de nuestra clínica antes de decidirte entre ortodoncia invisible o brackets?
Aquí te mostramos dos pacientes con diferentes patologías:
1. Agenesia dental tratada con brackets metalicos
En el primer caso, tratamos una agenesia dental del incisivo central superior (2.1), que provocaba un desnivel gingivo-dental y una falta de simetría en la sonrisa.
Para corregirla, se realizó un tratamiento de ortodoncia con brackets metálicos, que permitió alinear los dientes y crear el espacio necesario.
Posteriormente, se colocaron carillas estéticas personalizadas para recuperar la proporción, la armonía gingival y la naturalidad de la sonrisa.
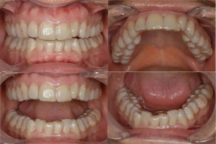
2. Apiñamiento dental tratado con ortodoncia invisible
En este segundo caso, en colaboración con COI, clínica dental en Granollers, tratamos a una paciente con malposición dental en ambas arcadas.
Presentaba apiñamiento, problemas de oclusión, desgaste en varios incisivos y bruxismo, además de arcadas estrechas que comprometían la estabilidad de la mordida.
Para corregirlo, se realizó un tratamiento de ortodoncia invisible, apoyado con corticotomías para acelerar el movimiento dental y mejorar la expansión de las arcadas. Una vez alineadas, se llevaron a cabo reconstrucciones estéticas para recuperar la función y devolver la armonía a la sonrisa.
Ortodoncia y tecnología: tratamientos más cómodos y eficaces
En Clínicas Den realizamos un estudio personalizado, ajustado a tu caso concreto. Para ello, contamos con avanzada tecnología que facilita mucho el proceso de diseño de sonrisa, ya sea ortodoncia invisible o brackets.
Totalmente inodora, muy rápida y precisa.
ModJaw
Por un lado, disponemos de ModJaw, que mediante un escáner intraoral localiza automáticamente el eje de la articulación temporomandibular y elabora un mapa con los puntos de contacto entre ambas arcadas, recreando una oclusión dinámica.
Ya no es necesario un modelo físico, este programa reproduce tu masticación a través de un modelo virtual.
CAD/CAM
Estos datos se vuelcan en CAD (Computer Aid Desing/ Diseño Asistido por Ordenador), que permite crear digitalmente prótesis y alineadores personalizados. Para materializarlos, CAD se conecta con la fresadora CAM (Computer Aid Manufacturing/ Fabricación Asistida por Ordenador) y fabrica la pieza.
Smile cloud
También trabajamos con Smilecloud, un software de diseño digital de sonrisa que, mediante inteligencia artificial, analiza el rostro y los dientes a partir de fotografías y registros dentales, generando una simulación 3D del resultado final antes de iniciar el tratamiento.
Ya no es necesario imaginar el cambio, este programa muestra tu futura sonrisa de forma realista y personalizada desde el primer momento.
Preguntas frecuentes
¿Qué es la ortodoncia invisible?
La ortodoncia invisible es un tratamiento odontológico que busca corregir la posición de los dientes mediante aparatos o férulas fabricadas a medida del paciente, utilizando materiales transparentes, que pasan más desapercibidos al ojo humano.
También llamados alineadores, se diseñan mediante 3D, y pueden retirarse un par de horas como máximo durante el día.
En ocasiones, la ortodoncia invisible requiere la colocación de ataches, pequeñas piezas en relieve que se pegan sobre algunos dientes, para ayudar al alineador a ejercer fuerza en una dirección concreta.
¿Qué son los brackets?
Los brackets son pequeñas piezas de forma rectangular que se emplean en ortodoncia para corregir la posición de dientes desalineados, apiñados o muy separados, problemas en la mordida, sobremordida…
Los hay metálicos y transparentes -de cerámica, zafiro o porcelana-, van pegados sobre los dientes con un adhesivo especial, y montados sobre un arco metálico que ejerce la fuerza para empujar los dientes a su lugar. Los brackets transmiten a cada diente esa fuerza, y van rodeados de gomas de brackets que marcan la dirección del empuje.
Es un tipo de ortodoncia fija, que es ajustada de forma manual por el ortodoncista.
Cierto es que, cuanto antes se comience con la ortodoncia, más sencilla será la recolocación de las piezas dentales y por eso, se recomienda comenzar de niños con una ortodoncia infantil.
Pero si eres un adulto, también tienes muchas opciones.
Los actuales sistemas de ortodoncias son muy efectivos, y si se suma a la práctica de una corticotomía, conseguimos que los dientes se muevan más rápidamente, acelerando el proceso de ortodoncia entre tres y cuatro meses.
¿Cuál tarda más, los brackets o ortodoncia invisible?
Por lo general, la ortodoncia invisible acorta los tiempos frente a los brackets. No obstante, si se realiza una corticotomía, cualquier sistema puede acelerar su proceso hasta cuatro meses.
¿Por qué los dentistas no recomiendan Invisalign?
No es una cuestión de marca, sino de precisión diagnóstica. Aunque es el sistema más conocido, muchos ortodoncistas de vanguardia buscamos soluciones que integren la función real de la boca, no solo el movimiento dental estático.
En Clínica Den, el Dr. Alberto Canábez y nuestro equipo médico han participado en el desarrollo de un sistema propio cuyos alineadores marcan un antes y un después en la tecnología invisible en Barcelona.
La gran diferencia es el Diagnóstico 4D. Somos pioneros en el uso de ModJaw 4D, una herramienta que registra en tiempo real el movimiento mandibular. No planificamos sobre fotos fijas; analizamos tu biomecánica individual para corregir la mordida y alinear tus dientes con una exactitud que los sistemas estándar no alcanzan.
Bajo nuestra filosofía FACE, el objetivo es la estabilidad articular y dental a largo plazo, no solo una sonrisa bonita pasajera.
¿Puedo usar ortodoncia invisible si tengo implantes o coronas?
Sí, puedes utilizar ortodoncia con implantes, aunque con algunas limitaciones.
Los alineadores pueden mover dientes naturales, pero no los implantes, ya que están fijos al hueso. En estos casos, el tratamiento se planifica alrededor de esas piezas para lograr un buen resultado funcional y estético.
Las coronas, por su parte, no suelen suponer un problema si están en buen estado.
¿Qué sistema es mejor para adolescentes?
Ambos ofrecen resultados excelentes, pero aquí la clave no es la tecnología, sino el compromiso por parte del paciente.
La ortodoncia invisible requiere llevar los alineadores puestos al menos 22 horas al día.
Si tu hijo es responsable, los alineadores son ideales porque facilitan la higiene y son más estéticos.
Si crees que puede olvidarlos, perderlos en el colegio o romperlos al manipularlos, el tratamiento no avanzará. En esos casos, los brackets, metálicos o estéticos, son la mejor opción.
Conclusión
Tanto la ortodoncia invisible como los brackets en sus diversas versiones son tratamientos muy eficaces para alinear las piezas dentales, ejerciendo un sistema de fuerzas a lo largo del tiempo.
A la hora de escoger entre ortodoncia invisible o brackets, hazlo según tus hábitos y necesidades, y valora tu grado de compromiso. Piensa que la ortodoncia invisible requiere de tu ayuda para llevarla un mínimo de 22 horas diarias, cosa que no sucede con los brackets.
Y busca un buen ortodoncista, que realice antes del tratamiento un profundo estudio de tu boca y una correcta planificación de la ortodoncia.
¿Cuál vas a elegir, ortodoncia invisible o brackets?
Concierta una cita con nuestros equipo de ortodoncia en Barcelona y respondemos tus preguntas
Compártelo en tus Redes Sociales
También te puede interesar...










