
Sea cual sea tu edad, no tienes porqué renunciar a tener una bonita sonrisa (y a una mordida perfecta). Para conseguirlo ya no es necesario recurrir a los llamativos brackets, porque la opción de utilizar alineadores invisibles se adapta a casi todas las situaciones, de forma cómoda y discreta.
Si deseas conocer cómo funciona este sistema de ortodoncia, qué ventajas tiene y su coste, en este post te damos toda la información que necesitas.
¿Qué son los alineadores invisibles?
Los alineadores invisibles son una opción de tratamiento ortodóntico que consiste en una serie de férulas transparentes y extraíbles, cuya función es mover gradualmente los dientes para corregir su posición en la dentadura.
Estas férulas son de plástico translúcido y flexible, se fabrican a la medida de cada paciente y se van cambiando aproximadamente cada quince días.
El éxito de este sistema es que, además de funcionar tan bien como los brackets en un tratamiento de ortodoncia, son mucho más cómodos y casi no se notan a la vista, por lo que puedes llevarlos sin complejos.
Dicho esto, conviene señalar que existen varias marcas comerciales de alineadores invisibles, y no únicamente el conocido Invisalign. Dependiendo de la tecnología empleada, no todos ofrecen resultados muy similares. Tenlo en cuenta cuando compares precios.
¿Para qué sirven los alineadores dentales invisibles?
El objetivo de este tratamiento es corregir la posición de las piezas dentales, para alinear los dientes, corregir la maloclusión, estabilizar la mordida y conseguir una sonrisa más armónica.
Ellos sirven tanto para pacientes con dientes separados o apiñados como para los que tienen problemas de mordida, entre otros casos.
Si el apiñamiento dental es muy severo, aunque los alineadores también pueden funcionar, quizás es mejor recurrir a otro tratamiento como los brackets, que se adaptan a todo tipo de casos muy complejos.
Si te preguntas si estos alineadores son adecuados para una ortodoncia infantil (aquí tenemos que matizar que cuando ésta es preventiva no requiere de ellos porque esta fase tiene otra función).
La respuesta es: sí. Los adolescentes también pueden usar los alineadores transparentes sobre la dentición permanente, desde los 13 o 14 años aproximadamente. Siempre dependiendo del caso y la disciplina del adolescente para llevarlos las horas necesarias para que el tratamiento funcione.
¿Cómo funcionan los alineadores invisibles?
Este sistema de ortodoncia funciona aplicando una suave presión sobre los dientes, al igual que hacen otros sistemas.
La diferencia está en cómo lo hacen.
Mientras que los brackets se ajustan individualmente para aplicar presión desde la parte frontal de las piezas y hay que ajustarlos regularmente, según se mueven los dientes, los alineadores se diseñan de antemano.
El ortodoncista traza un mapa de posiciones iniciales y finales de tus dientes, creando una imagen tridimensional de tu boca y mandíbula. De este modo, se crean alineadores personalizados que se cambian aproximadamente cada dos semanas por otro juego nuevo de forma y tamaño ligeramente diferentes.
Al terminar el tratamiento, es necesario el uso de un retenedor dental, ya que los dientes tienen “memoria” y querrán volver a su lugar original. El retenedor es similar a las férulas que usaste durante el tratamiento de ortodoncia, pero solo hay que sustituirlo cuando se ha deteriorado.
Sin el uso posterior del retenedor, en pocos años tus dientes volverían a la posición inicial, perdiendo el trabajo, el esfuerzo y el dinero invertido en tu tratamiento de alineadores invisibles.
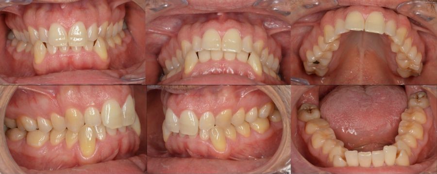
Caso de éxito: Antes y después de llevar alineadores invisibles
Daniel, nuestro paciente protagonista de hoy, acudió a nuestra clínica dental de Barcelona para mejorar la estética de su sonrisa. Sin embargo, tras un análisis y valoración completa, detectamos que el problema iba más allá de la simple alineación dental.
Corrigiendo ATM, bruxismo, mordida cruzada y apiñamiento
Él presentaba una sonrisa estrecha, dientes apiñados y una mordida cruzada anterior que condicionan tanto la estética como toda su función masticatoria.
Además, existían signos de sobrecarga muscular y bruxismo, con implicación directa en la articulación temporomandibular.
El diagnóstico
El estudio clínico, fotográfico y funcional 4D reveló una situación muy compleja:
- Deficiencia transversal del maxilar.
- Arcadas estrechas.
- Apiñamiento dental en ambas arcadas.
- Mordida cruzada anterior.
- Maloclusión.
- Incompetencia labial.
- Curva de Spee aumentada.
- Clase I esquelética con patrón dolicofacial.
- Desgaste dental.
- Bruxismo.
- Sobrecarga de la ATM.
Todo ello provocaba una mordida inestable y una sonrisa poco armónica, además de limitar la buena estabilidad del tratamiento si se abordaba únicamente desde un punto de vista estético.
El reto del tratamiento
El principal desafío consistía en ensanchar la sonrisa y alinear los dientes de forma segura, respetando los límites biológicos del hueso.
No se trataba solo de “ordenar” los dientes, sino de corregir la mordida, mejorar la función y garantizar un resultado estable a largo plazo, sin comprometer el hueso cortical vestibular.
Plan de tratamiento
Diseñamos un tratamiento totalmente personalizado que combinó ortodoncia invisible y técnicas avanzadas de apoyo óseo.
- Ortodoncia con alineadores invisibles, para alinear ambas arcadas con precisión y control.
- Corrección vertical mediante intrusión de incisivos inferiores.
- Expansión transversal controlada mediante corticotomías en los cuatro cuadrantes, que facilitaron movimientos dentales seguros y predecibles.
- Uso de anclaje esquelético con TADs, fundamental para corregir la mordida cruzada y controlar los desplazamientos dentales.
- Ajustes sagitales para mantener una clase I funcional.
- Reconstrucciones estéticas finales para armonizar la forma dental y mejorar el aspecto global de la sonrisa.
- Cada fase del tratamiento se planificó de forma precisa, priorizando siempre la salud periodontal y la estabilidad funcional.
El resultado
A medida que avanzó el tratamiento, la sonrisa de Daniel fue ganando amplitud, los dientes se alinearon correctamente y la mordida se equilibró.
El cambio no es solo estético. Actualmente presenta:
- Una sonrisa más amplia y proporcionada.
- Mejor encaje dental.
- Mayor comodidad al masticar.
- Disminución de la sobrecarga muscular.
- Una expresión facial más relajada y natural.
Este caso demuestra que los alineadores invisibles, combinados con una planificación avanzada y técnicas de apoyo adecuadas, permiten tratar casos complejos de forma eficaz, cómoda y discreta.
Cuando estética y función se trabajan de forma conjunta, los resultados no solo se ven, también se sienten.
Las ventajas de los alineadores transparentes
Si tu ortodoncista confirma que los alineadores transparentes corregirán tu apiñamiento dental o tu mordida, vas a beneficiarte de todas sus ventajas:
Son muy cómodos
Modificar la posición de tus dientes siempre conlleva una pequeña molestia, pero con los alineadores invisibles no sufres ningún dolor y además te ahorras la incomodidad de los brackets que a veces tropiezan contra el interior de tu cavidad bucal.
Son removibles
Puedes quitar y poner estos alineadores de modo sencillo, lo cual es perfecto a la hora de comer porque los extraes, comes lo que deseas y después del cepillado los vuelves a colocar fácilmente.
Permiten un cepillado perfecto
Al poder quitarte los alineadores, puedes cepillar correctamente todas tus piezas dentales; mientras que el cepillado con brackets es algo más complicado. La comida tiende a acumularse alrededor de ellos y requiere de una limpieza muy exhaustiva.
Son discretos
El material con el que están confeccionados es translúcido, así que a la vista resultan casi imperceptibles. Esto permite que lleves el tratamiento sin complejos, incluso en eventos sociales o reuniones de trabajo.
Son asequibles
Este tratamiento de ortodoncia es más barato que los tradicionales brackets, porque lleva menos material y además no requiere tanta dedicación por parte del ortodoncista, como sucede al ajustar cada pieza de los brackets una a una.
Resultados más rápidos
Frente a la ortodoncia tradicional, los alineadores invisibles consiguen resultados tras cuatro y nueve meses de uso. Eso es un tiempo menor del que precisan otros sistemas de ortodoncia.
Útiles para quienes hacen deportes de contacto
Si practicas boxeo, artes marciales o incluso deportes de equipo en los que puedes golpearte accidentalmente con un compañero, necesitas un sistema de ortodoncia que no conlleve riesgos.
Los alineadores invisibles son perfectos para esto y además amortiguan el roce entre tus dientes mientras corres o te mueves.
Precio de los alineadores invisibles
El precio de la ortodoncia invisible viene determinado inicialmente por la tecnología utilizada y por la complejidad del tratamiento.
Complejidad que solemos calificar como: muy leve (6 meses), leve (12 meses), moderado (18 meses) o severo (24 meses) aproximadamente.
Por otro lado, ante casos muy similares, el precio de la ortodoncia invisible también puede varía de un paciente a otro, dependiendo de la personalización necesaria, la tecnología y técnicas empleadas, la cantidad de visitas presenciales, duración del tratamiento o la experiencia del ortodoncista.
En Clínicas Den utilizamos un revolucionario sistema de Alineadores Invisibles DEN (bajo la filosofía FACE evolution System), que además de alinear los dientes, tiene en cuenta la armonía de tus facciones, la maloclusión dental y el corrigir la función masticatoria.
El equipo médico de Clínicas Den ha participado en el desarrollo de este nuevo modelo, por lo que nuestra experiencia está garantizada.
¿Cuánto cuestan los alineadores invisibles Den?
En Clínicas Den contamos principalmente con tres planes adaptados a cada caso:
- MINIMAL DEN: para casos sencillos como apiñamiento o expansión ligera (precio según diagnóstico).
- MODERATE DEN: para corregir apiñamientos, diastemas, expansiones moderadas o cambios verticales (precio según diagnóstico).
- HYBRID DEN: para casos severos con alteración en la masticación (precio según diagnóstico).
Te contamos en este post más sobre nuestros precios de ortodoncia invisible y la tecnología empleada en el sistema Den, y te presentamos una comparativa entre ortodoncia invisible o brackets.
IMPORTANTE: los precios pueden variar según la evaluación del ortodoncista al momento del diagnóstico y los otros tratamientos odontológicos complementarios que se necesiten para finalizar cada caso en concreto.
Recomendaciones a seguir si llevas alineadores invisibles
Aunque los alineadores invisibles son muy cómodos de utilizar, debes tener en cuenta ciertas normas de uso para cuidar tus aparatos de ortodoncia y que funcionen perfectamente.
Llévalos puestos el mayor tiempo posible
Para que los alineadores trabajen, debes llevarlos puestos como mínimo 22 horas. Aunque puedes quitar y ponerlos con comodidad, lo mejor es que solo los quites para comer y te los coloques de nuevo cuando puedas, para obtener resultados más rápidos.
Quítate los alineadores para comer
Para alargar la duración de los alineadores, conviene que no comas con ellos.
Quítalos y, después del cepillado y el hilo dental, colócalos para que sigan trabajando. Esto es importante, porque cuanto más tiempo estén colocados mejor funciona el tratamiento.
Evita alimentos duros y pegajosos
No mastiques chicle ni caramelos blandos con los alineadores puestos.
Tampoco elementos duros o crujientes. Además de dañarlos y retrasar su función, el azúcar puede quedar retenido entre tu diente y el alineador, aumentando el riesgo de caries.
Reduce los alimentos que manchan los alineadores
El té, el café, el vino tinto, la cúrcuma y alimentos con colorantes artificiales pueden teñir tus férulas invisibles, al igual que hacen con tus dientes.
Te recomendamos que intentes reducir su ingesta.
No fumes con ellos puestos
Los químicos que contiene el tabaco, sumados a la temperatura con la que entran en la boca pueden estropear los alineadores y decolorarlos.
Por ese motivo, es mejor retirarlos mientras se fuma. O puedes aprovechar el tratamiento para eliminar este dañino hábito. El tabaquismo causa estragos en tu boca.
Limpia tus alineadores
Es fundamental que cada vez que te retires el alineador, lo limpies bien por dentro y por fuera con cepillo interdental y un producto específico.
Si no tienes tiempo para ello, por lo menos enjuágalo bien antes de volver a colocarlo. Y por la noche, dedica un rato a limpiarlos.
Controla dónde dejaste el alineador
Uno de los problemas más comunes que tiene el alineador es que al ser translúcido, cuando te lo quitas a veces no lo localizas.
Como se entrega con una funda, te aconsejamos que desde el inicio cojas el buen hábito de colocarlo ahí. Evitarás perder tiempo buscándolo, pisarlo o que lo muerdan tus mascotas.
Conclusión
Los alineadores invisibles son un sistema de ortodoncia que alinea tus dientes, casi siempre empleando menor tiempo que los brackets. Y lo hace de forma más discreta y económica.
En Clínicas Den utilizamos un revolucionario sistema de alineadores invisibles DEN FACE, que además corrige la mordida.
Nuestros ortodoncistas cuentan con experiencia probada, como puedes comprobar en este post con el antes y después.
Además, contamos con sistema de pago a plazos mensuales para hacerte el tratamiento más llevadero, en todos los sentidos.
¿Te preguntas si los alineadores invisibles son para ti?
Si quieres mejorar tu sonrisa, ven a vernos en Via Augusta, 28, 08006 Barcelona. En Clínicas Den tu caso lo valorará Anna Andrzejewska, doctora especialista en Ortodoncia Invisible.
Concierta una cita con nosotros sin compromiso.
Compártelo en tus Redes Sociales
También te puede interesar...









