
Las carillas son uno de los tratamientos estéticos más demandados porque logran transformar la sonrisa en cuestión de semanas. Ahora bien, no todas las personas son candidatas a este procedimiento.
Si estás pensando en dar el paso, conviene que conozcas antes cuáles son los requisitos para ponerse carillas dentales y comprobar si tu caso encaja.
En este artículo te vamos a contar qué problemas solucionan las carillas, qué condiciones debes cumplir y en qué casos conviene esperar o valorar otras opciones. Así tendrás claro si ha llegado tu momento para dar el salto.
¿Qué problemas solucionan las carillas dentales?
Las carillas dentales están pensadas para corregir imperfecciones que afectan tanto a la imagen como, en algunos casos, a la función de la boca. Se colocan sobre la parte visible de los dientes y logran un efecto inmediato de armonía y luminosidad.
Los principales problemas que solucionan son:
- Manchas resistentes: esas que no desaparecen ni con un blanqueamiento dental profesional.
- Fracturas o desgastes: producidos por golpes, envejecimiento natural o hábitos como el bruxismo.
- Dientes desalineados de forma leve: cuando la ortodoncia no es necesaria o sería excesiva.
- Espacios entre dientes (diastemas): muy comunes en los incisivos centrales.
- Formas irregulares o desproporcionadas: que rompen la armonía de la sonrisa.
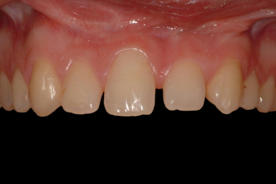
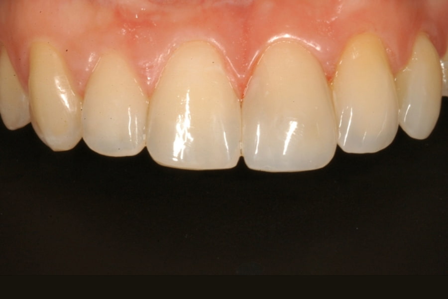
Veamos dos casos reales
Caso 1
El paciente acude a consulta por un problema de agenesia del incisivo central 2.1, que provocaba un desnivel estético gingivo-dental y una clara alteración de la simetría de la sonrisa.
Para corregirlo, realizamos un tratamiento combinado con ortodoncia para alinear las piezas y redistribuir los espacios, seguido de la colocación de carillas estéticas en la zona anterior.
El resultado es una sonrisa armónica, proporcionada y con una simetría recuperada.


Caso 2
En este caso, la paciente acude con sonrisa gingival y diastema consiguió un cambio radical combinando diferentes tratamientos coordinados.
Primero se realiza un alargamiento de corona en varias piezas. Después, un blanqueamiento dental. Y, finalmente, reconstrucciones de composite en la arcada inferior.
Como puedes observar, el resultado es más que notable: una sonrisa uniforme, blanca y proporcionada.


Si quieres, aquí tenemos más casos reales con carillas dentales antes y después.
¿Cuáles son los requisitos para ponerse carillas dentales?
Para que el tratamiento de carillas sea seguro, duradero y ofrezca un resultado natural, hay que cumplir ciertas condiciones.
Buena salud bucodental
Antes de colocar carillas, la boca debe estar libre de caries, infecciones y enfermedades periodontales.
¿Por qué? Porque este tipo de prótesis solo “cubre” el diente, no lo protege frente a problemas internos.
Si un diente está dañado y se coloca la lámina encima, la lesión seguirá avanzando y la salud bucal del paciente se verá comprometida.
Encías firmes y estables
Las encías son el marco natural de los dientes.
Si están inflamadas (gingivitis) o retraídas (periodontitis), el resultado estético no será bueno y afectará a la fijación de la carilla.
Un tratamiento periodontal previo asegura que las carillas se asienten de forma estable y que la sonrisa final sea uniforme.
Suficiente estructura dental
El esmalte es la base sobre la que se adhieren las carillas.
Cuando queda poco, la unión se convierte en un reto y la durabilidad se acorta. En esos casos, suele ser necesario optar por coronas o reconstrucciones más completas.
Además, hay que tener en cuenta que la colocación de carillas implica un tallado mínimo del diente: un desgaste muy ligero del esmalte para que se adapten de forma correcta y no resulten voluminosas.
Cuanto más esmalte natural tenga el diente, más durarán las carillas y más natural será el resultado.
Mordida equilibrada
La forma en la que encajan los dientes superiores e inferiores al cerrar la boca se llama oclusión dental.
Si existe una mordida cruzada, abierta o una sobremordida muy marcada, la presión excesiva puede fracturar las carillas en poco tiempo.
En muchos casos, el dentista recomendará corregir la mordida con ortodoncia antes de colocar las carillas.
Expectativas realistas
Las carillas permiten grandes mejoras, pero dentro de unos límites.
No cambian la posición del hueso maxilar, ni corrigen desviaciones severas. Tampoco hacen milagros con dientes muy dañados.
Por esta razón, siempre explicamos a nuestros pacientes hasta dónde se puede llegar con el tratamiento para evitar frustraciones.
Compromiso con la higiene y las revisiones
El éxito a largo plazo depende de ti.
Con un cepillado correcto, uso de hilo dental y visitas periódicas, las carillas pueden durar entre 10 y 15 años.
Sin estos cuidados, en cambio, se acumula placa, aparecen manchas y el resultado estético se deteriora.
Además, si fumas o consumes café y té con frecuencia, elige carillas de porcelana, que resisten mucho mejor las manchas que las de composite.
¿Cuándo no eres un buen candidato?
No todas las bocas están preparadas para recibir carillas.
En algunos casos, el tratamiento puede fracasar o no ofrecer los resultados esperados. Estas son las situaciones en las que conviene detenerse y valorar alternativas.
Bruxismo sin tratar
Rechinar los dientes de forma inconsciente, sobre todo al dormir, es un enemigo directo de las carillas.
La presión constante acaba por fracturarlas o despegarlas antes de tiempo.
Cuando el bruxismo está presente, lo primero es controlarlo con una férula de descarga o un tratamiento específico.
Desgaste dental severo o esmalte insuficiente
Cuando el diente ha perdido gran parte de su estructura, las carillas dejan de ser la mejor opción.
El esmalte es la base sobre la que se adhieren, y si apenas queda, la fijación se vuelve débil y poco fiable.
En estos casos, lo recomendable es recurrir a tratamientos más completos, como coronas o una rehabilitación oral, que devuelven resistencia y estabilidad antes de pensar en estética.
Higiene oral deficiente
Las carillas no son un escudo mágico contra la placa ni contra las bacterias.
Si la rutina de limpieza es insuficiente, la caries y la inflamación de encías aparecerán alrededor de las piezas y arruinarán el resultado.
El compromiso personal con la higiene es tan importante como la destreza del dentista.
Encías enfermas o con retracción
Cuando las encías no están sanas, ninguna mejora estética se sostiene en el tiempo.
Una retracción marcada deja al descubierto la unión entre la carilla y el diente, lo que rompe la naturalidad de la sonrisa.
Cuando las encías están sanas, las carillas se integran mejor y el resultado es mucho más natural
Mordidas muy desajustadas
Cuando los dientes no encajan entre sí de forma equilibrada, cada cierre de boca se convierte en un impacto directo contra el material.
Una mordida abierta, cruzada o con sobremordida profunda limita la durabilidad del tratamiento.
Primero se corrige la maloclusión, después se piensa en estética.
Edad y desarrollo dental
En pacientes muy jóvenes, con dentición todavía en crecimiento, las carillas no son la mejor opción.
Los cambios naturales en la boca pueden alterar la posición y comprometer el resultado a medio plazo.
Lo recomendable es esperar hasta que el desarrollo esté completo, es decir, a partir de los 18 años.
Expectativas irreales
Buscar una sonrisa de revista sin atender a la realidad clínica solo conduce a la frustración.
Las carillas mejoran la forma, el color y la proporción, pero no sustituyen tratamientos más complejos ni transforman por completo la anatomía dental.
Entender estos límites es clave para sentirse satisfecho con el resultado.
Conclusión
Las carillas dentales son mucho más que una solución estética rápida.
Funcionan como un traje a medida: encajan a la perfección solo cuando la base es la adecuada.
Una boca y encías sanas, y una mordida equilibrada son las condiciones que garantizan un resultado natural y duradero.
En Clínicas Den estudiamos cada caso de forma personalizada para determinar si eres un buen candidato. Si lo eres, diseñamos contigo el tratamiento que mejor se adapta a tus necesidades.
Otras preguntas frecuentes sobre carillas dentales
¿Cuánto tiempo duran las carillas dentales?
La duración depende del material y de los cuidados.
Las de porcelana suelen mantenerse entre 10 y 15 años en perfecto estado.
Las de composite tienen una vida útil más corta, entre 5 y 7 años, pero permiten retoques más sencillos cuando se desgastan.
¿El procedimiento para colocarlas duele?
La colocación de carillas es un tratamiento mínimamente invasivo.
En la mayoría de los casos se realiza con anestesia local y el paciente no siente dolor, solo una ligera molestia. Después, puede aparecer sensibilidad dental durante unos días, que desaparece con el tiempo.
¿Puedo elegir el color de mis carillas?
Sí, aunque siempre bajo la recomendación del dentista. Se busca un tono que mejore la estética sin perder naturalidad.
Una sonrisa demasiado blanca puede parecer artificial, por lo que se elige el color que mejor se adapte a la piel, labios y dientes vecinos.
¿Las carillas se manchan con café, vino o tabaco?
Las de porcelana resisten muy bien las manchas. Las de composite, en cambio, son más porosas y tienden a oscurecerse antes.
En cualquier caso, mantener una buena higiene y acudir a las revisiones ayuda a prolongar la estética del tratamiento.
¿Es posible ponerse carillas en todos los dientes?
Lo habitual es colocarlas en los dientes visibles al sonreír, sobre todo en el frente superior.
En algunos casos se amplía a otras piezas, pero siempre tras valorar la mordida y la estética global.
¿Qué pasa si una carilla se rompe o se despega?
Aunque es poco frecuente, puede ocurrir. Si la carilla se fractura o se despega, el dentista puede recolocarla o fabricar una nueva.
Es importante no intentar pegarla en casa y acudir cuanto antes a la clínica.
¿Tienes más dudas sobre los requisitos para ponerse carillas dentales?
Ponte en contacto con nosotros o visita nuestra clínica dental en Barcelona.
Descubre todo lo que podemos hacer por ti con nuestro tratamiento de carillas dentales en Barcelona y da el primer paso hacia la sonrisa que siempre has querido.
Compártelo en tus Redes Sociales
También te puede interesar...




Lo sentimos, los comentarios están cerrados...